Op de nieuwe SETL platen zaten naast visluis eieren nu ineens ook zwarte puntjes op de plaat en zowaar Waternetje!
Nou dat maakt mij weer ontzettend nieuwsgierig, want dat heb ik nog niet eerder gezien.
Hoe ga ik die er netjes af krijgen en dan is een snorkel en een wetsuit ook een uitkomst.
Ik zwem naar de platen en hou de plaat net boven water. Dan schraap ik met de rand van het potje wat van de zwarte aanslag. Ik laat over de zwarte aanslag van de rand een beetje water ,het potje inlopen…. hebbes!
| SETL001 / 21 Celsius. |
Voorzichtig uit het water komen en de potjes zo voorzichtig mogelijk naar huis vervoeren, want door het schudden kunnen de klontjes uiteenvallen in onvindbare kleine deeltjes.
Eenmaal thuis moet ik helaas toch nog een nachtje wachten, want ik ga niet tot diep in de nacht achter de microscoop zitten.
De volgende dag ga ik kijken. De zwarte ophopingen zitten wat verankerd aan het potje en dus blaas ik ze los met het pipetje.
Ik zie beweegloze blauwgroene bolletjes, maar nou weet ik nog niks, want zelfs na een 15 minuten blijven de bolletjes bewegingsloos liggen.
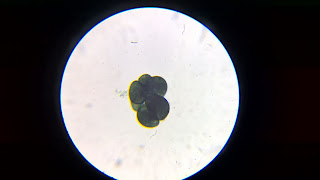
![]() |
| Verzameling bolletjes |
![]() |
| Trompetdier (Stentor) |
Het antwoord komt uiteindelijk wel als ik een dotje vuil opzuig en op het glaasje leg. Ik zie een blauwgroen balletje tot leven komen. Minuscule trilhaartjes bewegen en langzaam rekt het organisme zich uit. Het kan zich ook ontzettend snel voortbewegen.
Ik zoek ‘m op in “Das leben im wassertropfen” en ik vind een soortgelijk organisme onder de wimperdiertjes groep. De “Stentor” stoere naam voor zo’n minuscuul dingetje.
Ik vermoed dat het de Stentor coelureus kan zijn, maar daarvoor heb ik te weinig kennis om dat exact te zeggen.
Het lijkt er dus op dat ze dus soms groeperen en in een soort rust gaan. Ze hebben een voetje waarmee ze zich kunnen vasthechten dus dat verklaart misschien dat de clusters zich vasthechten.
Als je dan verder gaat lezen, dan blijkt het bacteriƫn te eten en dat zegt misschien wat over de waterkwaliteit in de directe omgeving van de platen. Het water in de bovenste zes meter is melkachtig troebel. Het is apart dat onder en om het paviljoen weinig watervlooien zitten. Over het algemeen is het water zomers ook warmer onder het paviljoen dan ver erbuiten. Misschien dat de opgevangen warmte door het gebouw via de palen aan het water wordt afgegeven.
De Stentor is een organisme die ik op de SETL platen nog niet eerder ben tegengekomen in de voorgaande jaren.
Zo zie je maar weer.. er is geen jaar hetzelfde. In 2013 stond de beluchting uit. In 2014 heeft de beluchting met drie pompen alleen in augustus gedraaid. Nu is er vanaf half mei begonnen met pompen, maar de pompen stopte erg vaak door storingen, dus er is niet volledig en continue belucht helaas. Nu doen alleen de twee oostelijke pompen het nog, maar of dat iets zegt over de aan of afwezigheid van bepaalde organismen dat is de vraag.
Het was weer leuk om iets nieuws te ontdekken op de SETL platen.
Er blijkt trouwens op H001 weer Hydrodictyon te zitten oftewel het stikstof minnende “Waternetje”
![]() |
| Waternetje |


